Der menschliche Körper ist ein komplexes System, in dem alles miteinander verbunden ist. Als ganzheitlich ausgerichtete Praxis für Biologische Kieferorthopädie berücksichtigen wir diese Zusammenhänge. Denn der Kiefer spielt eine zentrale Rolle, wenn es um ganzheitliches Wohlbefinden geht. Beschwerden im Kieferbereich können weitreichende Auswirkungen auf den gesamten Körper haben. Die Craniomandibuläre Dysfunktion (CMD), eine Störung im Kausystem, kann zum Beispiel nicht nur zu Kiefergelenkschmerzen, sondern auch zu Kopfschmerzen, Nackenverspannungen und sogar zu Problemen im unteren Rücken und mehr führen. Doch wie hängen diese Bereiche zusammen und wie kann eine CMD Aufbissschiene helfen?
Craniomandibuläre Dysfunktion selbst erkennen

Eine CMD macht sich durch verschiedene Symptome bemerkbar. Häufig sind morgendliche Kopfschmerzen, ein verspannter Nacken oder Schmerzen beim Kauen erste Anzeichen. Auch Ohrgeräusche wie Tinnitus oder Schwindel können auf eine CMD hinweisen. Ein weiteres Indiz kann das Knacken oder Reiben des Kiefergelenks sein. Wenn Sie unter solchen Symptomen leiden, sollten Sie aufmerksam werden und einen Termin in unserer Praxis DIE KAULEISTER vereinbaren, um eine genaue Diagnose zu erhalten.
Die Rolle der CMD Aufbissschiene
Eine bewährte Methode zur Behandlung von CMD ist der Einsatz einer Aufbissschiene (Oklussionsschiene). Diese fertigen wir für Sie individuell an. Ziel einer solchen Schiene ist, die Kieferstellung so zu optimieren, dass sich Muskelverspannungen lösen können. Durch die herbeigeführte Entlastung des Kiefergelenks und der umliegenden Muskulatur können wir viele der beschriebenen Symptome lindern oder sogar vollständig beheben.
Im Zusammenhang mit CMD kooperieren wir mit erfahrenen Osteopathen oder Chiropraktikern. Sie unterstützen uns mit ihrer Arbeit, den Körper und das Kausystem zu entspannen und darauf aufbauend eine Optimalposition für die Kiefer zu erreichen.
Warum ihre Mitwirkung so wichtig ist, zeigt ein Blick auf das Craniosacrale System:

Das Craniosacrale System
Das Cranio Sacrale System umhüllt und schützt das gesamte Nervensystem. Es besteht aus den drei Hirnhäuten (Dura mater, Pia mater und Arachnoidea) und dem Liquor cerebrospinalis (Gehirn-Rückenmarks-Flüssigkeit). Das zentrale Nervensystem (ZNS) ist vollständig von dieser Flüssigkeit umgeben. Sie füllt auch die inneren Hohlräume des Gehirns, die Hirnventrikel. Der Liquor wirkt wie ein Stoßdämpfer und schützt das Gehirn und das Rückenmark vor plötzlichen Erschütterungen und anderen schädlichen Einflüssen. Neben seiner Schutzfunktion besitzt der Liquor auch eine ernährende Rolle, indem er Nährstoffe aus dem Blut zum Nervengewebe transportiert und Abfallprodukte des Stoffwechsels abführt.
In diesem System pulsiert der Liquor gezeitenartig und wird vom Schädel über die Wirbelsäule zum Kreuzbein und über die Körperfaszien (Bindegewebe) und Flüssigkeiten auf den ganzen Körper übertragen. Das wellenförmige Pulsieren ist im gesamten Körper spürbar. Es bildet die Grundlage für eine gesunde neuronale Unterstützung aller Organe und somit die Funktionsfähigkeit des Menschen. Abhängig ist diese wellenförmige Bewegung von der freien Beweglichkeit der Schädelplatten!


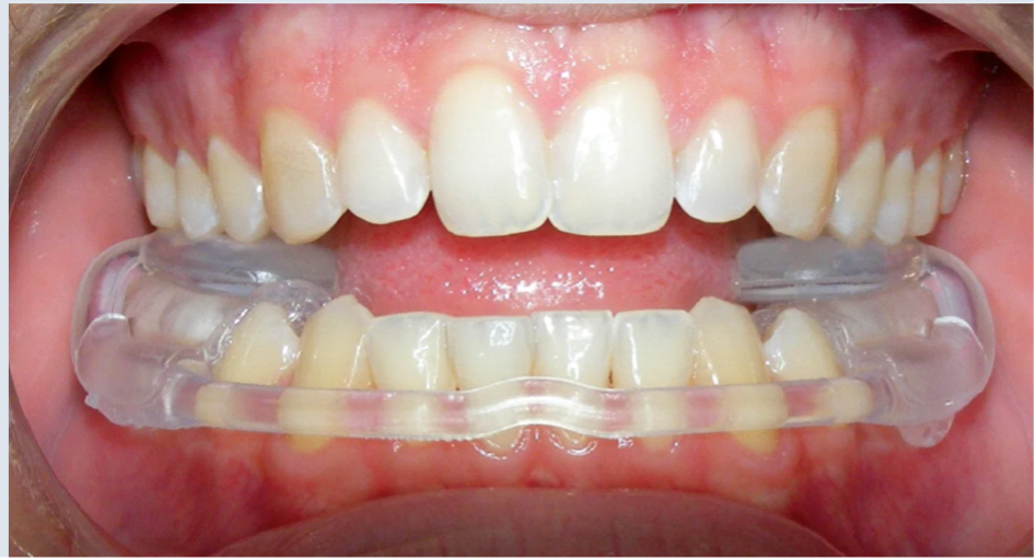
Eine CMD Aufbissschiene besser im Unterkiefer
Die feinen Strukturen im Schädelknochen stehen in enger Verbindung mit dem Oberkiefer. Wenn Sie also eine Schiene im Oberkiefer tragen würden, könnte dies die natürliche Beweglichkeit der Schädelplatten stören und damit die Wirkung einer craniosacralen Therapie beeinträchtigen. Eine Oberkieferschiene blockiert die wichtigen Schädelnähte wie die Sutura palatina mediana der Maxilla sowie das Os temporale und Os occipitale. Daher sollte eine Oberkieferschiene nur in Ausnahmefällen oder erst nach einer erfolgreichen craniosacralen Therapie eingesetzt werden. In unserer Praxis DIE KAULEISTER passen wir individuelle Aufbissschienen grundsätzlich im Unterkiefer an, um diesem Ansatz gerecht zu werden.
Die AquaSplint® Schiene: Innovation in der CMD-Diagnostik & -Therapie
Eine innovative Lösung zur Behandlung von CMD ist eine Schiene namens AquaSplint®. Diese neueste Generation der selbstadjustierenden und vorgefertigten CMD-Schienen bietet in verschiedenen Ausführungen eine Reihe von Vorteilen. AquaSplint ist eine vorgefertigte CMD Schiene, die zur Soforthilfe ohne Vorbereitungen, Abdrücke oder Registrierungen eingesetzt werden kann.
Die Schiene besteht aus zwei Wasserpads, die durch einen kleinen Schlauch miteinander verbunden sind (hydrostatischer Wasserhaushalt).

Der Ausgleich zwischen den Wasserkissen sorgt – wenn Ihre individuelle Situation es zulässt – für eine schnelle schmerzlindernde Harmonisierung der kraniofazialen Strukturen, auch bekannt als Aqua-Balance-Effekt. Das AquaSplint-Konzept wurde auf der Grundlage der manuellen Therapie entwickelt, um die Diagnose und Behandlung von CMD zu verbessern und zu vereinfachen.
Ganzheitlicher Ansatz zur Gesundheit
Die Behandlung von CMD mit einer Aufbissschiene ist in unserer Praxis für Kieferorthopädie in Wertingen immer in einen ganzheitlichen Ansatz eingebettet. Das bedeutet, dass neben der Schienentherapie auch Physiotherapie, Osteopathie, Chiropraktik sowie stressreduzierende Maßnahmen wie Entspannungsübungen eine Rolle spielen. Ihr Kiefer steht in enger Verbindung mit vielen anderen Körperstrukturen, und eine umfassende Therapie wird Ihnen helfen, die besten Ergebnisse zu erzielen.
